एक्सप्लोरर
जब डॉक्टर्स ने हेल्दी किडनी को समझा ट्यूमर, तो जानें फिर क्या हुआ
1/9

एक हेल्दी महिला को अब जिंदगी भर डॉक्टर्स की गलती के कारण एक ही किडनी पर जीवन गुजारना पड़ेगा. फोटोः गूगल फ्री इमेज
2/9

एक कार एक्सीडेंट के बाद मॉरीन पैचियो नाम की महिला को बहुत तेज कमर में दर्द रहने लगा था. दर्द बढ़ने पर मॉरीन ने वैलिंगटन रीजनल मेडिकल सेंटर में चैकअप करवाया. फोटोः गूगल फ्री इमेज
3/9

ऐसे में महिला ने कानून की मदद ली. महिला ये केस जीत गई है क्योंकि डॉक्टर्स द्वारा हुई गलती को सुधारा नहीं जा सकता. फोटोः गूगल फ्री इमेज
4/9

ऑपरेशन थियेटर में कई बार ऐसे चौंकाने वाले मामले सामने आते हैं जिन पर यकीन करना मुश्किल होता है. आज हम आपको ऐसे ही हैरान करने वाले मामले के बारे में बताने जा रहे हैं. फोटोः गूगल फ्री इमेज
5/9

जब महिला को होश आया तो उसका दर्द एकदम गायब था लेकिन बाद में उसे अहसास हुआ कि उसकी किडनी को निकाल दिया गया. अब इस महिला को ना सिर्फ क्रोनिक किडनी डिजीज होने का डर है बल्कि किडनी फेल होने का भी खतरा है. फोटोः गूगल फ्री इमेज
6/9

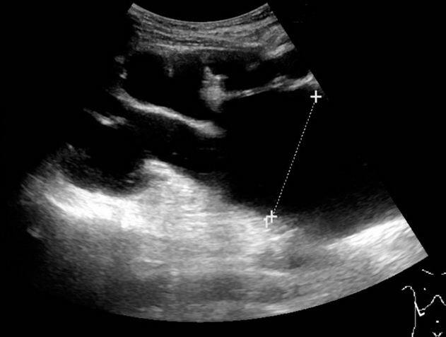
ऑपरेशन से पहले डॉक्टर्स ने इस महिला की दो एमआरआई रिपोर्ट तक चैक नहीं की जिसमें साफ जाहिर था कि महिला की पेल्विक किडनी है वो भी हेल्दी. फोटोः गूगल फ्री इमेज
7/9

दरअसल, डॉक्टर्स ने गलती से महिला की हेल्दी किडनी को शरीर में बढ़ने वाला एक कैंसरनुमा ऑर्गन समझा जिसे ऑपरेशन के दौरान निकाल दिया गया. जानिए क्या था पूरा मामला. फोटोः गूगल फ्री इमेज
8/9

ऑपरेशन से पहले डॉक्टर्स ने जांचा कि महिला के पेल्विक में कोई मांस जमा है जिसे उन्होंने कैंसर का नाम दे दिया और महिला का इमरजेंसी में ऑपरेशन कर दिया. ऑपरेशन में इस मांस यानि पेल्विक किडनी को निकाल दिया गया. फोटोः गूगल फ्री इमेज
9/9

चैकअप के दौरान पाया गया कि ये बैकपेन बोंस में आ गया है. ऐसे में डॉक्टर्स ने इस महिला का ऑपरेशन कर दिया. फोटोः गूगल फ्री इमेज
Published at :
और देखें
Advertisement
Advertisement

























