एक्सप्लोरर
(Source: ECI/ABP News)
दिल्ली के प्रदूषण से अब लोगों को हो रहा है लंग कैंसर, डॉक्टर्स ने किया दावा
1/6

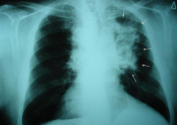
आमतौर पर ये माना जाता है कि लंग कैंसर की धूम्रपान मुख्य वजह है लेकिन ठोस सबूत हैं कि फेफड़े के कैंसर के बढ़ते मामलों में प्रदूषित हवा की भूमिका बढ़ रही है.फोटोः गूगल फ्री इमेज
2/6

अरविंद कुमार ने बताया कि फेफड़े का कैंसर खतरनाक बीमारी है और इसके निदान के बाद पांच साल तक जीवित रहने की उम्मीद होती है. धूम्रपान नहीं करने वाले युवाओं और महिलाओं में बढ़ते मामले को देखकर हम हैरान रह गए.फोटोः गूगल फ्री इमेज
Published at :
और देखें
टॉप हेडलाइंस
जनरल नॉलेज
उत्तर प्रदेश और उत्तराखंड
बॉलीवुड
चुनाव 2026

श्रीप्रकाश सिंह, प्रोफेसरकुलपति, हेमवती नंदन बहुगुणा गढ़वाल विश्वविद्यालय, गढ़वाल उत्तराखंड
Opinion


























