एक साल की बच्ची के दिमाग में पल रहा भ्रूण, कमर से लेकर हड्डियां तक हो गईं विकसित
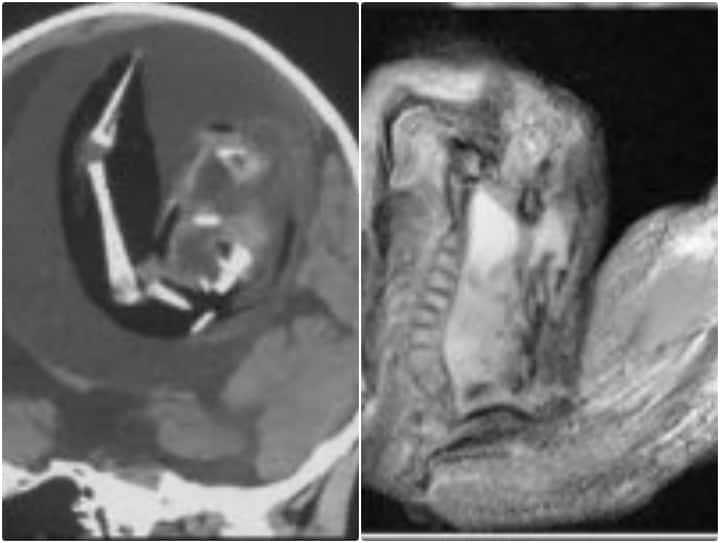
Trending News: हाल ही में एक साल की बच्ची के दिमाग में 4 इंच तक बढ़ चुके एक भ्रूण को पाया गया. जिसके सीटी स्कैन को देख डॉक्टर्स की टीम चकरा गई. फिलहाल सफल ऑपरेशन के बाद भ्रूण को निकाला जा चुका है.

China Trending News: दुनिया तेजी से विकास की राह पर अग्रसर है. ऐसे में आए दिन दुनिया के कई क्षेत्रों में लगातार हो रहे बदलाव और विकास के कारण नई-नई खोज हो रही हैं. इसका सबसे ज्यादा असर मेडिकल साइंस के क्षेत्र पर देखने को मिला है. जिसके कारण नई तकनीक की मदद से कई गंभीर रोगों का इलाज आसानी से किया जा सकता है. कैंसर से लेकर कई घातक रोगों का इलाज मेडिकल साइंस की तरक्की के कारण आसानी से हो सका है.
फिलहाल इन दिनों एक ऐसा अजीबोगरीब मामला सामने आया है. जिसे सुन कर हर किसी के पसीने छूट गए हैं. वहीं, मेडिकल साइंस में इसे एक अजूबा ही समझा जा रहा है. दरअसल चीन से एक सनसनीखेज मामला सामने आया है. जिसने पूरी दुनिया में मेडिकल साइंस के क्षेत्र में काम कर रहे लोगों को हैरत में डाल दिया है. जानकारी के अुनसार पता चला है कि चीन में एक साल की बच्ची के दिमाग में भ्रूण मिला है. जिसकी जानकारी होने के बाद साइंटिस्टों के मुंह खुले के खुले रह गए हैं.
@inshorts
— AIIMS Doctors Unity 🇮🇳 (@AiimsU) March 10, 2023
Doctors in China have found an "unborn twin" in the brain of a one-year-old child in China, according to a study published in a journal.
The child presented problems with motor functions and had an enlarged head. #news pic.twitter.com/zC620qqm8T
एक साल की बच्ची के दिमाग में भ्रूण
चीन में न्यूरोलॉजी जर्नल में प्रकाशित एक खबर के मुताबिक बताया गया है कि चीन में एक साल पहले पैदा होने वाली बच्ची के दिमाग के अंदर से एक भ्रूण को निकाला गया है. बताया जा रहा है कि जन्म लेने के बाद बच्ची के दिमाग का साइज काफी तेजी से बढ़ रहा था. जिससे परेशान उसके माता-पिता उसे इलाज के लिए अस्पताल लेकर पहुंचे. जहां उस बच्ची के दिमाग का सिटी स्कैन किया गया तो इस राज से पर्दा खुल गया.
ऑपरेशन के बाद दिमाग से निकाला भ्रूण
बच्ची के दिमाग की सिटी स्कैन की रिपोर्ट की जांच करने पर डॉक्टर्स ने उसके दिमाग में एक भ्रूण को पाया. जिसे देख डॉक्टर्स की टीम हैरत में पड़ गई. एक रिपोर्ट के अनुसार डॉक्टर्स ने बताया कि बच्ची के दिमाग के अंदर भ्रूण तकरीबन 4 इंच तक बढ़ गया था. जहां उसकी कमर की हड्डियों और उंगलियों के नाखूनों का विकास हो गया था. फिलहाल एक लंबे और सफल ऑपरेशन के बाद बच्ची के दिमाग से उस भ्रूण को बच्ची के दिमाग से बाहर निकाला जा चुका है.
यह भी पढ़ेंः पहले लगी 16 हजार करोड़ की लॉटरी, अब शख्स ने खरीदा 200 करोड़ का ऐसा घर,
Source: IOCL



























