एक्सप्लोरर
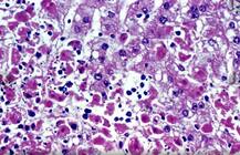
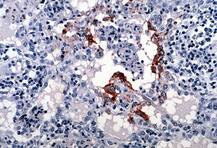
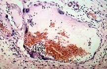
Nipah Virus
इंडिया
भारत में निपाह वायरस से पहली मौत, बंगाल में महिला नर्स ने गंवाई जान, लंबे समय से चल रहा था इलाज
हेल्थ
शरीर में 45 दिनों तक साइलेंटली रह सकता है निपाह वायरस, जानें कब हो जाता है खतरनाक?
इंडिया
T-20 वर्ल्ड कप से पहले PAK ने भारत के खिलाफ चलाया प्रोपेगेंडा, खुल गई फर्जी नैरेटिव की पोल
हेल्थ
निपाह वायरस के क्या हैं लक्षण, जानें बुखार और सिरदर्द हल्के में क्यों न लें?
इंडिया
निपाह वायरस: दो नर्सों में से मेल की हालत अब बेहतर, लेकिन फीमेल वेंटिलेटर पर, स्थिति गंभीर
हेल्थ
कितना खतरनाक है निपाह वायरस, इसमें कब हो जाता है जान बचाना मुश्किल?
इंडिया
West Bengal: निपा वायरस से संक्रमित 2 नर्सो की हालत गंभीर, लगाए गए विशेष इंजेक्शन, कैसे फैला वायरस?
इंडिया
West Bengal: 100 से ज्यादा लोगों के संपर्क में आईं थी निपा वायरस से जूझ रही दोनों नर्स, हालत गंभीर
हेल्थ
निपाह वायरस कितना खतरनाक, क्या है इससे बचने का तरीका?
इंडिया
पश्चिम बंगाल में निपाह वायरस के दो मामले आए सामने, केंद्र ने पूर्ण सहयोग का दिया आश्वासन
हेल्थ
केरल में निपाह वायरस का अलर्ट, जानें ये कितना खतरनाक और क्या होते हैं लक्षण
हेल्थ
कितने दिन में ठीक हो जाता है निपाह वायरस का मरीज? जानें कैसे होता है इलाज
Photo Gallery
News Reels
Advertisement
ट्रेंडिंग न्यूज
Advertisement
Advertisement
टॉप हेडलाइंस
विश्व
उत्तर प्रदेश और उत्तराखंड
आईपीएल 2026
बॉलीवुड

प्रेम कुमारJournalist
Opinion























