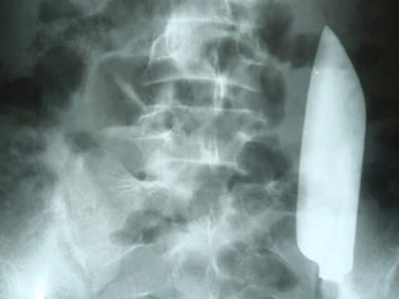
Nepal Viral News: नेपाल में एक हैरान करने वाला मामला सामने आया है. यहां रहने वाले एक 22 साल के युवक के पेट से चाकू निकला है. युवक के पेट में 15 सेंटीमीटर लंबा चाकू देख डॉक्टरों के भी होश उड़ गए. मीडिया रिपोर्ट के अनुसार इस बात का खुलासा तब हुआ जब युवक को पेट दर्द हुआ और वह इलाज के लिए अस्पताल गया. 

न्यूजवीक की रिपोर्ट के अनुसार युवक पेट दर्द की शिकायत लेकर अस्पताल गया. जब डॉक्टरों ने उसके पेट पर मिले एक घाव के निशान के बारे में पूछा तो वह स्पष्ट जवाब नहीं दे पाया. इसके बाद डॉक्टरों ने दर्द का कारण जानने के लिए युवक का अल्ट्रासॉउन्ड किया. अल्ट्रासॉउन्ड रिपोर्ट देख सभी के होश उड़ गए. दरअसल, युवक के पेट में 15 सेंटीमीटर चाकू दिखाई दिया. 

लड़ाई के दौरान पेट में गया था चाकू आनन फानन में युवक की सर्जरी की गई, जिसके बाद चाकू को पेट से बाहर निकाला गया. फिलहाल युवक खतरे से बाहर है. रिपोर्ट के अनुसार युवक ने बाद में डॉक्टरों को बताया कि उसकी कुछ दिनों पहले लड़ाई हुई थी, जिसमें उसे चाकू लगा था. उस समय युवक ने स्थानीय डॉक्टर से इलाज कराया था, जिसने घाव पर टांके लगा दिया था.

युवक के मुताबिक यह सब कुछ जब हुआ था तो वह शराब के नशे में था. ऐसे में उसे आभास नहीं हुआ कि चाकू का जख्म कितना गहरा है. डॉक्टरों का अनुमान है कि इस घटना के दौरान ही चाकू युवक के पेट में चला गया था. बाद मेंं टांकों की वजह से घाव भर गया था और फिर सूख भी गया. इसलिए हेल्थ वर्कर ने उसे डिस्चार्ज कर घेर भेज दिया था. 

युवक अब पूरी तरह ठीक डॉक्टरों ने जांच के बाद कहा कि युवक को न ही दस्त, न उल्टी और न ही कब्ज का एहसास हो रहा था. उसका ब्लड सर्कुलेशन भी सामान्य था. यह वाकई हैरान करने वाला है. हैरानी की बात यह थी कि चाकू पेट में था, लेकिन उससे किसी अंग को नुकसान नहीं पहुंचा था. डॉक्टरों ने कहा कि युवक के पूरी तरह से ठीक होने की उम्मीद है. 

ये भी पढ़ें: Watch: संयुक्त राष्ट्र में भारतीय मीडिया के सवालों से भागते नजर आये जस्टिन ट्रुडो, खालिस्तानी आतंकवादी को लेकर पत्रकार पूछ रहे थे सवाल