China Trending News: दुनिया तेजी से विकास की राह पर अग्रसर है. ऐसे में आए दिन दुनिया के कई क्षेत्रों में लगातार हो रहे बदलाव और विकास के कारण नई-नई खोज हो रही हैं. इसका सबसे ज्यादा असर मेडिकल साइंस के क्षेत्र पर देखने को मिला है. जिसके कारण नई तकनीक की मदद से कई गंभीर रोगों का इलाज आसानी से किया जा सकता है. कैंसर से लेकर कई घातक रोगों का इलाज मेडिकल साइंस की तरक्की के कारण आसानी से हो सका है.

फिलहाल इन दिनों एक ऐसा अजीबोगरीब मामला सामने आया है. जिसे सुन कर हर किसी के पसीने छूट गए हैं. वहीं, मेडिकल साइंस में इसे एक अजूबा ही समझा जा रहा है. दरअसल चीन से एक सनसनीखेज मामला सामने आया है. जिसने पूरी दुनिया में मेडिकल साइंस के क्षेत्र में काम कर रहे लोगों को हैरत में डाल दिया है. जानकारी के अुनसार पता चला है कि चीन में एक साल की बच्ची के दिमाग में भ्रूण मिला है. जिसकी जानकारी होने के बाद साइंटिस्टों के मुंह खुले के खुले रह गए हैं.

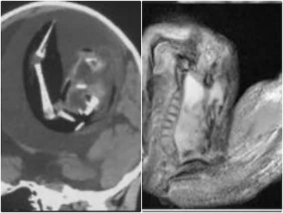
एक साल की बच्ची के दिमाग में भ्रूण

चीन में न्यूरोलॉजी जर्नल में प्रकाशित एक खबर के मुताबिक बताया गया है कि चीन में एक साल पहले पैदा होने वाली बच्ची के दिमाग के अंदर से एक भ्रूण को निकाला गया है. बताया जा रहा है कि जन्म लेने के बाद बच्ची के दिमाग का साइज काफी तेजी से बढ़ रहा था. जिससे परेशान उसके माता-पिता उसे इलाज के लिए अस्पताल लेकर पहुंचे. जहां उस बच्ची के दिमाग का सिटी स्कैन किया गया तो इस राज से पर्दा खुल गया.

ऑपरेशन के बाद दिमाग से निकाला भ्रूण

बच्ची के दिमाग की सिटी स्कैन की रिपोर्ट की जांच करने पर डॉक्टर्स ने उसके दिमाग में एक भ्रूण को पाया. जिसे देख डॉक्टर्स की टीम हैरत में पड़ गई. एक रिपोर्ट के अनुसार डॉक्टर्स ने बताया कि बच्ची के दिमाग के अंदर भ्रूण तकरीबन 4 इंच तक बढ़ गया था. जहां उसकी कमर की हड्डियों और उंगलियों के नाखूनों का विकास हो गया था. फिलहाल एक लंबे और सफल ऑपरेशन के बाद बच्ची के दिमाग से उस भ्रूण को बच्ची के दिमाग से बाहर निकाला जा चुका है.

यह भी पढ़ेंः पहले लगी 16 हजार करोड़ की लॉटरी, अब शख्स ने खरीदा 200 करोड़ का ऐसा घर,